Hautkrebs

Unter Hautkrebs versteht man verschiedene Krebserkrankungen, die in sehr verschiedenen Erscheinungsformen auftreten können. Man unterscheidet grob zwischen dem sog. „schwarzen Hautkrebs“ und dem „weißen Hautkrebs“.
Zu diesen zählt man das Basalzellkarzinom (Basaliom) und das Plattenepithelkarzinom (Spinaliom). Außerdem gibt es noch weitere allerdings sehr seltene Tumore der Haut, auf die wegen der Seltenheit nicht eingegangen werden soll.

Basaliome und Plattenepithelkarzinome („weißer Hautkrebs“)

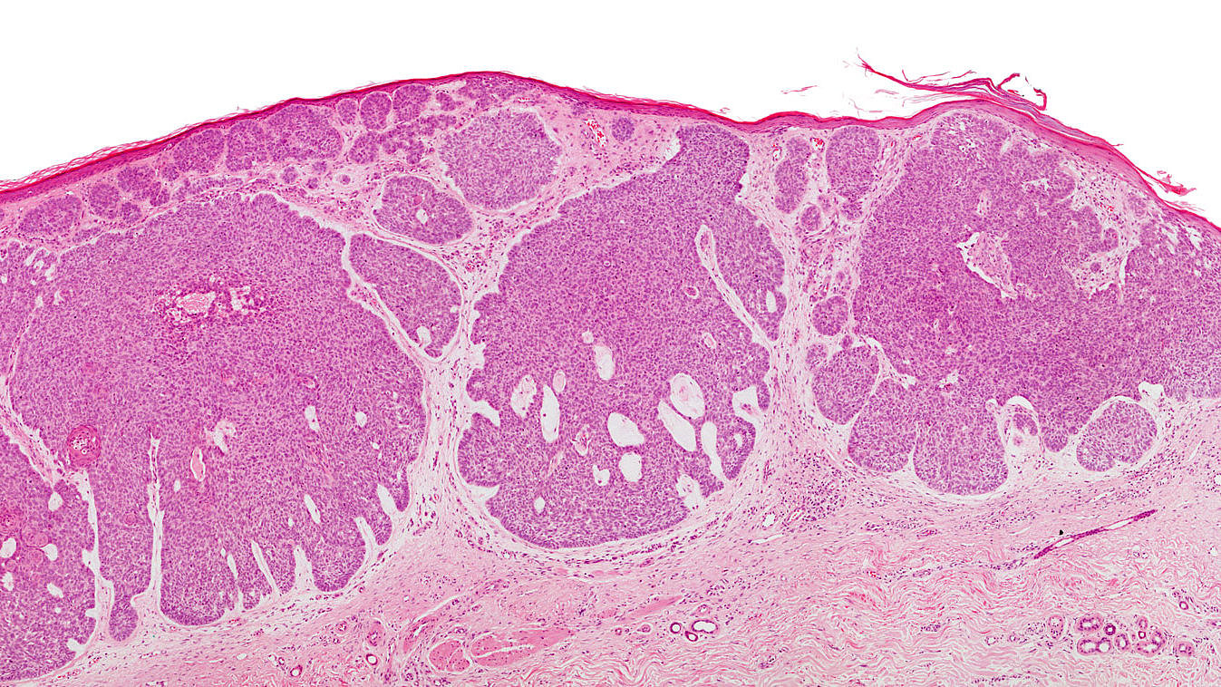
Zu dem sog. „weißen Hautkrebs“ gehören die Basaliome oder Basalzellkarzinome, die von der Basalzellschicht der Haut ausgehen. Sie sind der häufigste bösartige Hauttumor. Ebenfalls häufig treten Plattenepithelkarzinome, auch Spinaliome oder Spinalzellkarzinome genannt, auf. Experten schätzen, dass im Jahr 2014 etwa 169.100 Menschen an einem Basaliom und 49.400 an einem Plattenepithelkarzinom erkrankten. *1 
Basalzellkarzinome metastasieren so gut wie nie und gelten daher auch als semimaligne (halbbösartig). Auch die Spinalzellkarzinome metastasieren erst recht spät (ab einer Größe von 1cm findet man gehäuft Metastasen), so dass beide Tumore in aller Regel ambulant, chirurgisch entfernt werden können. Nach der chirurgischen Exzision (Entfernung) wird das entnommene Gewebe unter dem Mikroskop untersucht, um den genauen Tumortyp festzustellen. Auch wird hierbei überprüft, ob auch alle Tumoranteile erfasst wurden. 
Nur bei chirurgisch sehr schwer zugänglicher Lokalisation, oder bei sehr ausgedehnten Befunden kann auch über eine alternative Behandlung, wie beispielsweise eine Strahlentherapie oder auch andere Therapien mit Medikamenten in Salbenform nachgedacht werden. Auch diese können geeignet sein, eine Tumorrückbildung zu erzielen. 
Neu ist ein Medikament zum Einnehmen, das gezielt Signalwege unterbricht, die Karzinomzellen zum Wachstum benötigen: Es steht bisher allerdings nur für Patienten zur Verfügung, bei denen ein Basalzellkarzinom nicht operativ entfernt werden kann und sich trotz anderer Therapien weiter ausbreitet.

Malignes Melanom („schwarze Hautkrebs“) 

Im Gegensatz zu den weißen Hautkrebsarten verhält sich das Melanom, der "schwarze Hautkrebs" sehr viel aggressiver. Das Melanom kann sich schon sehr viel früher über das Lymphgefäßsystem oder die Blutbahn im Körper ausbreiten, wodurch dieser Tumor sehr viel gefährlicher ist. 
Auch hier wird man daher eine sehr rasche und vollständige Exzision mit einem Sicherheitsabstand vornehmen. Bei sehr frühen (dünnen!) Tumoren führt dies in aller Regel zu einer Heilung. Bei nicht wenigen Patienten haben sich aber zum Zeitpunkt der Entdeckung schon Metastasen gebildet. Daher spielen neben einer Operation eine Immuntherapie und gegebenenfalls eine Chemotherapie oder eine Bestrahlung bei der Behandlung eine wichtige Rolle. Relativ neu sind sogenannte zielgerichtete Medikamente, die sich gegen besondere Eigenschaften der Tumorzellen richten. Patienten mit fortgeschrittener Erkrankung profitieren von diesen neuen Arzneimitteln. 
Maligne Melanome sind allerdings im Gegensatz zu weißem Hautkrebs relativ seltene Tumore: 2014 erkrankten nach Angaben der Gesellschaft der Epidemiologischen Krebsregister und des Zentrums für Krebsregisterdaten am Robert-Koch-Instituts etwa 22.220 Menschen an einem Melanom.

Quelle:

Mit Informationen des Krebsinformationsdienst, Deutsches Krebsforschungszentrum und des Robert Koch Instituts